Комп'ютерна томографія
Щелепно-лицева діагностика
На обладнанні нового покоління
Драгоманова 6/1
(Позняки)
097 165 07 09
Пн-Пт: 09:00 - 19:30
Cб: 09:30 - 18:00
Анни Ахматової 35
(Позняки)
068 825 95 88
Пн-Пт: 09:00 - 19:30
Cб: 09:30 - 18:00
Олександра Олеся 6-Б
(Виноградар)
097 047 13 11
Пн-Пт: 09:00 - 19:00
Cб: 09:30 - 18:00
пр-т Валерія Лобановського 17
(Севастопольська пл)
097 047 12 65
Пн-Пт: 09:00 - 19:00
Cб: 09:30 - 18:00
Героїв України 26
(Бровари)
068 969 63 41
Пн-Пт: 10:00 - 19:00
Cб: 10:00 - 15:00
вул. Щастя 1
(Крюківщина)
068 449 10 90
Пн-Пт: 10:00 - 18:00
Cб: 10:00 - 15:00
На обладнанні нового покоління
Тип знімку - 3D
Одне положення - 1000 грн
Два положення - 1000 грн
( "Положення" - відкритий чи закритий рот )
Загальний час прийому - 15 хв
Час сканування - 15-30 сек
Запис на CD / e-mail / лікарю на ftp
💡 Загальна інформація:
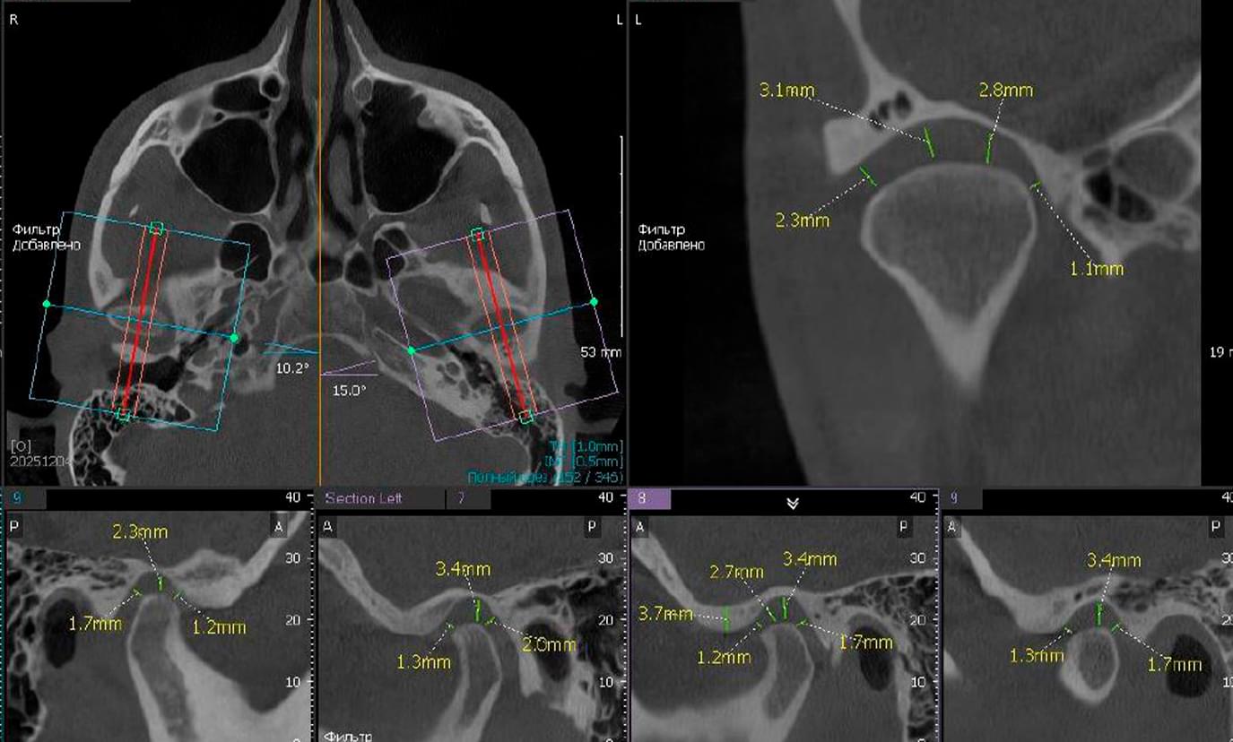
КТ скронево-нижньощелепних суглобів (СНЩС) — це найбільш інформативний метод дослідження рухомого з’єднання нижньої щелепи з черепом. На відміну від плоского панорамного знімка (ОПТГ), 3D-діагностика дозволяє побачити суглоб у стані спокою та при максимальному відкритті рота. Це дає можливість лікарю оцінити не лише структуру кістки, а й ширину суглобової щілини, положення суглобових голівок та симетрію їх руху.
✅ Що побачить лікар на КТ суглобів?
🔹 Анатомічні зміни: Деформацію суглобових поверхонь, наявність остеофітів (кісткових
розростань) або ознак артрозу та артриту.
🔹 Положення голівки суглоба: Чи правильно розташована суглобова голівка в ямці при закритому та
відкритому роті (виявлення підвивихів або дислокацій).
🔹 Стан кісткової тканини: Щільність кістки, наявність ерозій, кіст або наслідків травм
(тріщини, переломи).
🔹 Симетрія: Порівняльний аналіз правого та лівого суглобів, що критично важливо при порушеннях
прикусу або болях лише з одного боку.
🔹 Ширина суглобової щілини: Звуження або розширення простору, що вказує на запальні процеси або
проблеми з диском.
⚠️ Ми робимо лише знімок без висновку чи діагнозу:
У нашій лабораторії ми надаємо якісні високоточні знімки, які стануть надійним фундаментом для роботи вашого гнатолога, ортодонта або хірурга. Для встановлення діагнозу та вибору тактики лікування, будь ласка, зверніться до вашого профільного спеціаліста.
✍ Опис суглобів (СНЩС):
Рентгенологічний опис (Окрема послуга) — це медичний висновок лікаря-рентгенолога, у якому детально аналізується стан кісткових структур суглобів, їх положення та функціональні особливості, виявлені на КТ. Вартість послуги ціна