Комп'ютерна томографія
Щелепно-лицева діагностика
На обладнанні нового покоління
,
Драгоманова 6/1
(Позняки)
097 165 07 09
Пн-Пт: 09:00 - 19:30
Cб: 09:30 - 18:00
Анни Ахматової 35
(Позняки)
068 825 95 88
Пн-Пт: 09:00 - 19:30
Cб: 09:30 - 18:00
Олександра Олеся 6-Б
(Виноградар)
097 047 13 11
Пн-Пт: 09:00 - 19:00
Cб: 09:30 - 18:00
пр-т Валерія Лобановського 17
(Севастопольська пл)
097 047 12 65
Пн-Пт: 09:00 - 19:00
Cб: 09:30 - 18:00
Героїв України 26
(Бровари)
068 969 63 41
Пн-Пт: 10:00 - 19:00
Cб: 10:00 - 15:00
вул. Щастя 1
(Крюківщина)
068 449 10 90
Пн-Пт: 10:00 - 18:00
Cб: 10:00 - 15:00
На обладнанні нового покоління
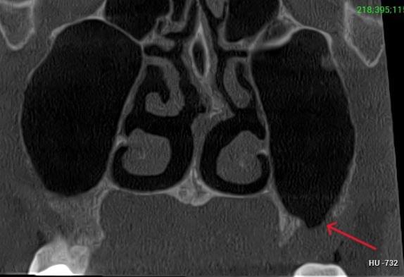
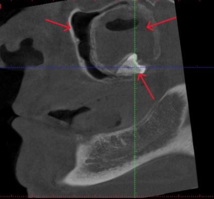
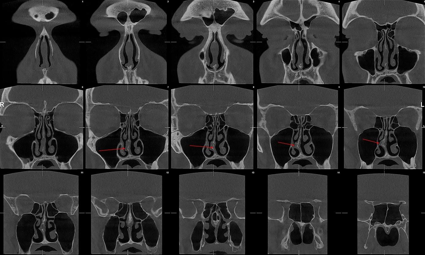
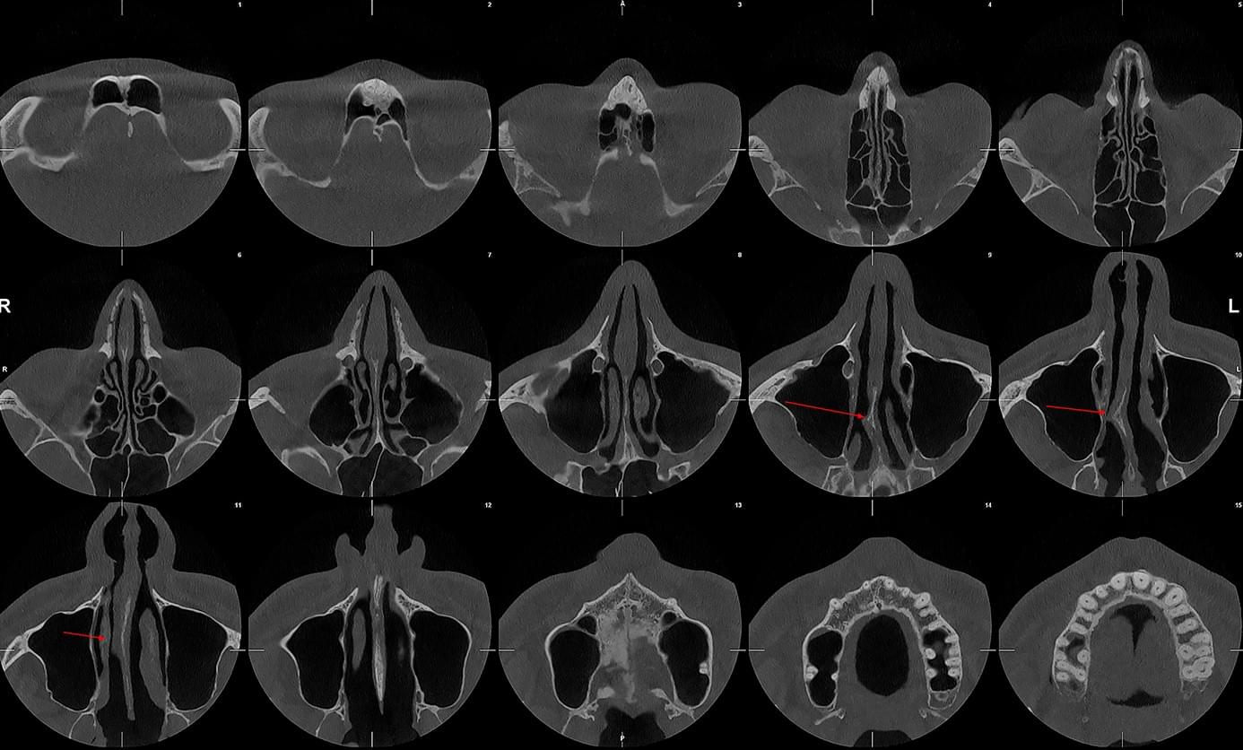
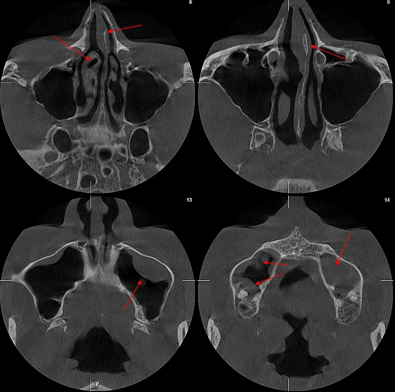
Діагностика гайморових пазух за допомогою КТ
У сучасній медицині КТ придаткових пазух носа (або КТ синусів) — це «золотий стандарт»
діагностики для ЛОР-лікарів та щелепно-лицевих хірургів. Звичайний рентген часто не
показує повну картину, а МРТ не завжди доступний і дорожчий. Комп’ютерна томографія дає
детальну 3D-модель усіх пазух (гайморових, лобних, клиновидних та решітчастого
лабіринту) за 10 секунд і з мінімальною дозою опромінення.
У цій статті ми розберемо, коли варто звернутися до ЛОРа, які симптоми вимагають КТ
пазух носа, як проходить обстеження та чому найкраще зробити його саме в MyRayLab —
спеціалізованій КТ-лабораторії в Києві з обладнанням Planmeca.

Більшість людей намагаються «перележати» нежить. Але якщо симптоми не минають 7–10 днів — це вже привід записатися до отоларинголога. ЛОР призначить КТ придаткових пазух носа, якщо ви помітили:
Важливо: Якщо нежить триває понад 2 тижні, з’явилася температура, набряк обличчя чи біль в очах — не відкладайте візит до ЛОРа. Раннє КТ пазух носа дозволяє виявити приховані кісти, поліпи, сторонні тіла або одонтогенний гайморит ще до ускладнень.
КПКТ (конусно-променева комп’ютерна томографія) — це 3D-знімок високої роздільної здатності. На відміну від звичайного рентгену, КТ показує:
У MyRayLab використовують сучасний апарат Planmeca 3D — доза опромінення всього 12 мкЗв (в 10–20 разів нижче, ніж у звичайних КТ), сканування 10 секунд, HD-якість.
ЛОР призначає обстеження у таких випадках:
КТ дозволяє провести віртуальну операцію: встановити імплант у програмі, виключивши будь-які ризики травмування пацієнта.

| Параметр | Звичайний рентген | МРТ | KT у MyRayLab (Planmeca) |
|---|---|---|---|
| Деталізація 3D | Низька | Висока (м’які тканини) | Найвища для кісток і пазух |
| Час сканування | 1–2 хв | 20–40 хв | 10 секунд |
| Доза опромінення | Низька | Відсутня | Мінімальна (12 мкЗв) |
| Ціна | 300–500 грн | 1500–2500 грн | 1200 грн |
| Зручність | Черги | Потрібен контраст | По запису, без черг |
Ми робимо тільки якісні знімки — без висновку (це робота вашого ЛОРа). За бажанням — рентгенологічний опис навколоносових синусів за додаткові 300 грн (1–3 дні).

MyRayLab — спеціалізована 3D КТ-лабораторія з 6 зручними локаціями:
Ціна КТ навколоносових пазух — 1200 грн. Запис онлайн: https://myraylab.com.ua/synusy.html або за телефонами на сайті. Працюємо навіть під час відключень світла.

Діагностика придаткових пазух носа за допомогою КТ — це швидкий, безпечний і точний спосіб дізнатися справжню причину хронічного нежиту чи болю в обличчі. Не чекайте ускладнень! Зверніться до ЛОРа, а обстеження зробіть у MyRayLab — з мінімальною дозою, HD-якістю та результатами в той же день.
Збережіть здоров’я носа та пазух — сучасна діагностика доступна кожному!