Комп'ютерна томографія
Щелепно-лицева діагностика
На обладнанні нового покоління
Драгоманова 6/1
(Позняки)
097 165 07 09
Пн-Пт: 09:00 - 19:30
Cб: 09:30 - 18:00
Анни Ахматової 35
(Позняки)
068 825 95 88
Пн-Пт: 09:00 - 19:30
Cб: 09:30 - 18:00
Олександра Олеся 6-Б
(Виноградар)
097 047 13 11
Пн-Пт: 09:00 - 19:00
Cб: 09:30 - 18:00
пр-т Валерія Лобановського 17
(Севастопольська пл)
097 047 12 65
Пн-Пт: 09:00 - 19:00
Cб: 09:30 - 18:00
Героїв України 26
(Бровари)
068 969 63 41
Пн-Пт: 10:00 - 19:00
Cб: 10:00 - 15:00
вул. Щастя 1
(Крюківщина)
068 449 10 90
Пн-Пт: 10:00 - 18:00
Cб: 10:00 - 15:00
На обладнанні нового покоління
Чому звичайного рентгену недостатньо? Прихована реальність за межами 2D

Чому сучасна стоматологія відмовляється від плоских знімків на користь 3D-діагностики. На реальних кейсах MyRayLab ви дізнаєтесь:
Точна діагностика на апараті Planmeca виключає ризик лікарської помилки. Вчасне КТ обходиться значно дешевше, ніж переліковування або видалення зуба через неточний діагноз.
Багато пацієнтів звикли до стандартного панорамного знімка (ОПТГ), вважаючи його
«золотим стандартом». Проте в сучасній стоматології покладатися лише на пласке
зображення — це
все одно що намагатися зрозуміти об'ємну архітектуру будівлі, дивлячись лише на її тінь.
У лабораторії MyRayLab ми щодня бачимо, як комп'ютерна томографія (КТ) змінює план
лікування, виявляючи деталі, які раніше залишалися «невидимими».

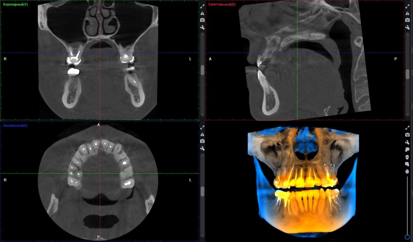
Головний недолік 2D-рентгену — це площинне зображення. Зуби, корені, щільна кістка та гайморові пазухи накладаються один на одного, створюючи «візуальний шум».
Візуальне порівняння (Кейс одного пацієнта)
Зуб — це не просто монолітний об'єкт, а складна система мікроканалів. На плоскому 2D-знімку вони часто перекривають один одного, створюючи ілюзію простої анатомії.
Непомічений канал — це джерело майбутньої інфекції та причина «загадкового» болю після лікування. Завдяки високій роздільній здатності обладнання MyRay, лікар бачить кожен мікронний канал ще до того, як візьме до рук інструмент.
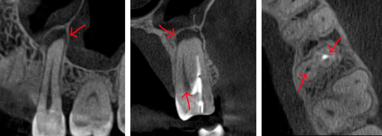
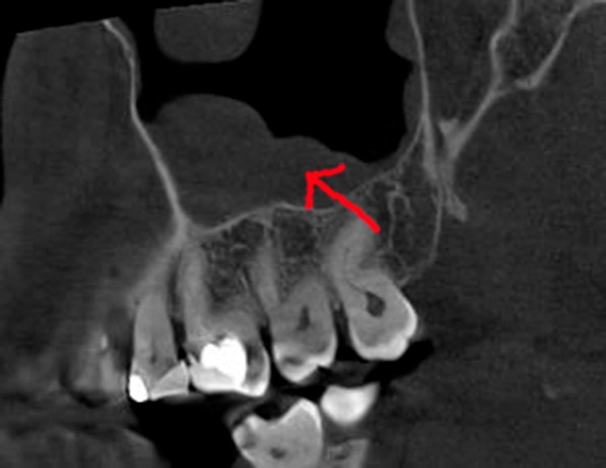
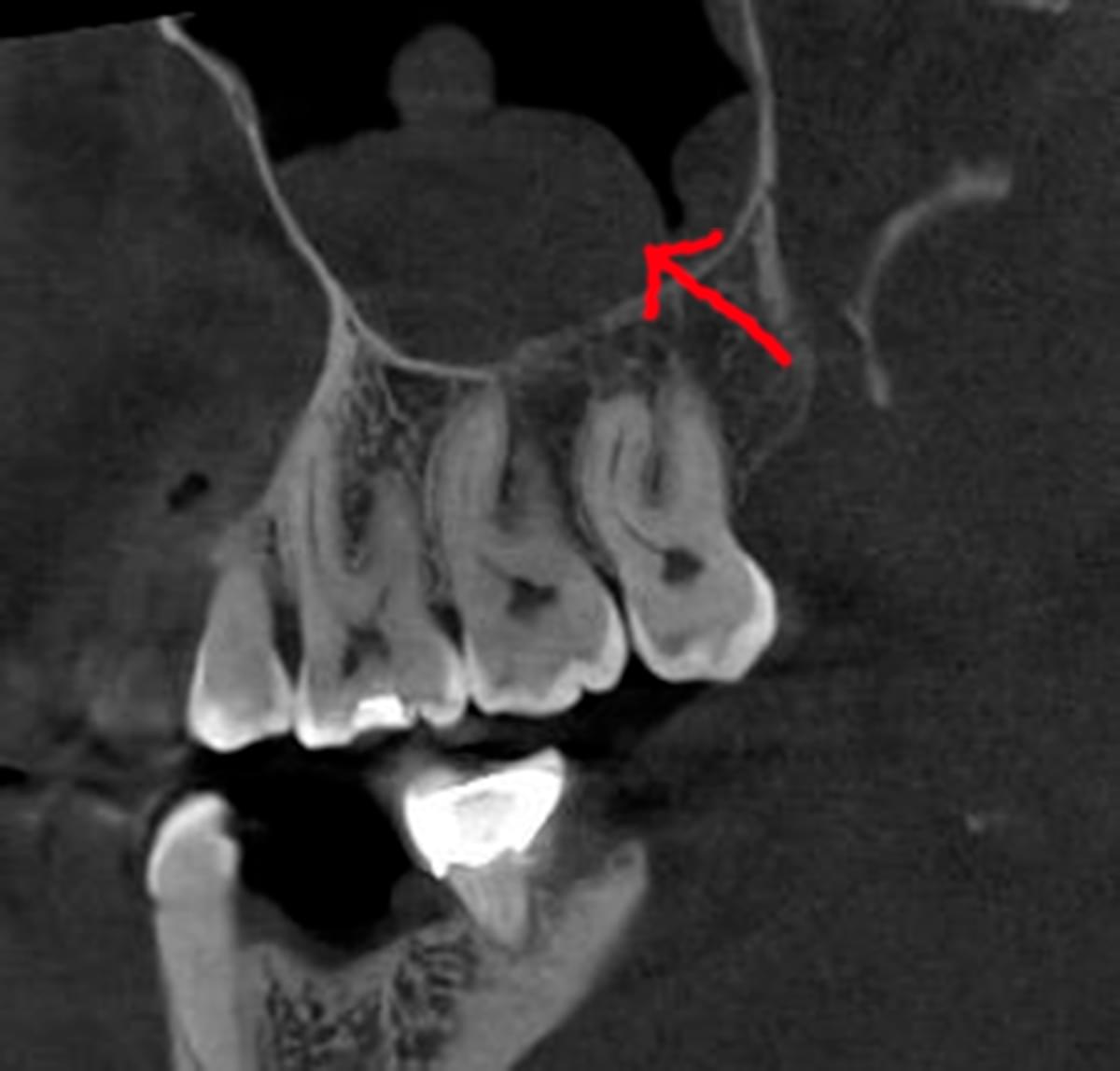
Коли коріння «ховає сюрпризи» - Корені зубів часто мають складну кривизну, гачкоподібні закручення або розгалуження, які на звичайному 2D-знімку накладаються один на одного, створюючи ілюзію прямого каналу. На плоскій картинці неможливо побачити реальний об'єм та напрямок вигину, що критично важливо при видаленні «зубів мудрості» або ендодонтичному лікуванні. КТ MyRay дає змогу лікарю заздалегідь побачити 3D-геометрію кожного кореня, оцінити його близькість до нижньощелепного нерва чи гайморової пазухи та підібрати правильну тактику роботи. Це мінімізує ризики поломки інструменту в каналі або травмування сусідніх структур, перетворюючи складну хірургію на прогнозовану процедуру.
При плануванні імплантації лікарю важливо знати дві речі: об'єм кістки та точне розташування нервів.
КТ дозволяє провести віртуальну операцію: встановити імплант у програмі, виключивши будь-які ризики травмування пацієнта.
Часто причиною зубного болю є гайморит, і навпаки — причиною запалення пазух є хворий зуб. На звичайному знімку пазуха виглядає як темна пляма. На КТ ми бачимо стан слизової, наявність кіст або сторонніх тіл (наприклад, залишків пломбувального матеріалу), що критично важливо для правильного діагнозу.
Чи варто робити КТ, якщо «і так все видно»? Наш досвід показує: переліковування зуба через неточну діагностику завжди коштує дорожче, ніж вчасне 3D-обстеження.
Вибираючи діагностику в MyRayLab, ви отримуєте: