Комп'ютерна томографія
Щелепно-лицева діагностика
На обладнанні нового покоління
Драгоманова 6/1
(Позняки)
097 165 07 09
Пн-Пт: 09:00 - 19:30
Cб: 09:30 - 18:00
Анни Ахматової 35
(Позняки)
068 825 95 88
Пн-Пт: 09:00 - 19:30
Cб: 09:30 - 18:00
Олександра Олеся 6-Б
(Виноградар)
097 047 13 11
Пн-Пт: 09:00 - 19:00
Cб: 09:30 - 18:00
пр-т Валерія Лобановського 17
(Севастопольська пл)
097 047 12 65
Пн-Пт: 09:00 - 19:00
Cб: 09:30 - 18:00
Героїв України 26
(Бровари)
068 969 63 41
Пн-Пт: 10:00 - 19:00
Cб: 10:00 - 15:00
вул. Щастя 1
(Крюківщина)
068 449 10 90
Пн-Пт: 10:00 - 18:00
Cб: 10:00 - 15:00
На обладнанні нового покоління
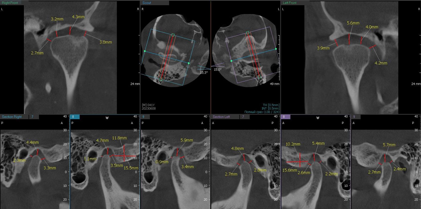
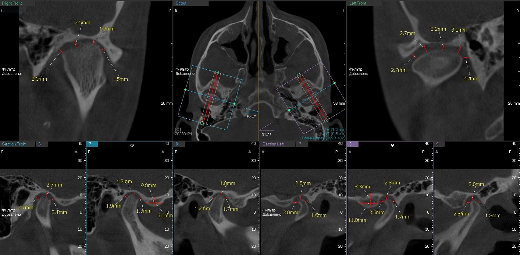
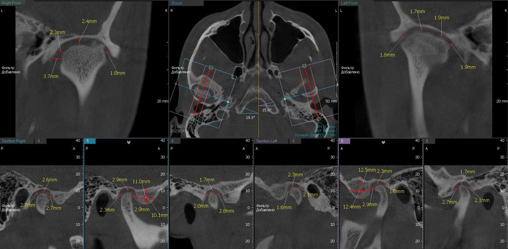
Дисфункція скронево-нижньощелепного суглобу
Скронево-нижньощелепний суглоб є одним з найскладніших і найбільш активних суглобів в людському організмі. Цей суглоб виконує рухи, що дозволяють нам говорити, жувати їжу та виконувати різні функції щелепно-лицевої області. Однак, деякі люди можуть стикатися з дисфункцією скронево-нижньощелепного суглобу, що призводить до болю, обмеження руху та інших неприємних симптомів.
Симптоми та клінічні прояви дисфункцій скронево-нижньощелепної тканини можуть варіювати у відношенні від конкретної проблеми, але основні ознаки можуть включати:
Якщо ви маєте сумніви щодо свого скронево-нижньощелепного суглобу, компанія MyRay Lab є вашим надійним партнером у діагностиці та визначенні причин цієї дисфункції. Ми спеціалізуємося на проведенні КТ-досліджень суглобів, черепа та навколишніх тканин, що дозволяє нам докладно оцінити структуру та функцію скронево-нижньощелепного суглобу.
Однією з головних переваг співпраці з MyRay Lab є наша високотехнологічна устаткування, що використовується в процесі КТ. Ми застосовуємо передові технології, які забезпечують зображення високої якості та дозволяють отримати детальну інформацію про стан суглобу. Наша компанія MyRay Lab використовує інноваційні методи та підходи, щоб допомогти нашим клієнтам у точному діагностуванні та розумінні проблем щодо їх скронево-нижньощелепного суглобу.
Здоров'я наших клієнтів є нашим пріоритетом, тому ми пропонуємо індивідуальний підхід до кожного пацієнта, що звертається до нас для діагностики дисфункції скронево-нижньощелепного суглобу. Наші досвідчені фахівці використовують комбінацію клінічного дослідження та КТ-сканування, щоб з'ясувати причини симптомів та розробити ефективний план лікування.



Якщо ви стикаєтесь зі схожими симптомами, не вагайтеся звернутися до нашої компанії MyRay Lab для діагностики дисфункції скронево-нижньощелепного суглобу. Ви можете знайти більше інформації про наші послуги та контактні дані на нашому веб-сайті myraylab.com.ua.
Нехай ваше здоров'я буде в надійних руках MyRay Lab, провідного провайдера КТ-діагностики та досліджень суглобів у Києві. Зробіть перший крок до поліпшення свого життя і зверніться до нас сьогодні.